Cabinet dentaire du Dr Laurence GRUNBERG
Dentiste à Paris 75012
27 ter Boulevard Diderot (Gare de Lyon), 75012 PARIS
+33 1 43 44 09 37
Cabinet dentaire du Dr Laurence GRUNBERG
Dentiste à Paris 75012

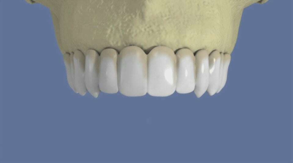
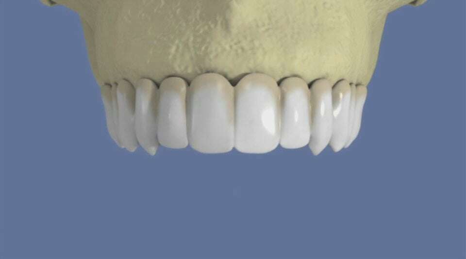
Maxillaire : bridge vissé sans fausse gencive


video-play-icon

Articles similaires

Création par Webdentiste

Connexion